Оказывается, если человек перенес коронавирус бессимптомно, то в его организме все равно запустились необратимые изменения.
Дело в том, что у бессимптомных носителей зафиксированы поражения легких.
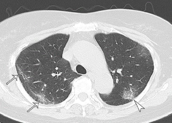
Данный факт доказывает последнее исследование японских ученых, оригинальные результаты исследования размещены на RSNA.
В исследовании были изучены изменения в 104 заразившихся COVID-19 пассажиров лайнера Diamond Princess.

Течение заболевания кроме анализов контролировалось регулярными снимками компьютерной томографии.
В итоге у бессимптомно болевших коронавирусом зафиксированы поражения легких.
Из 104 пассажиров 76 человек, а это ровно 73 %, перенесли COVID-19 без симптомов.
У большей части бессимптомников по результатам КТ произошли деформации в легких — «эффект матового стекла».
К слову, в другой части группы самыми распространенными симптомами стали кашель - 20 %, температура - 11 %, общая слабость - 10 % случаев.
Таким образом, японские ученые сделали вывод, что легкие бессимптомников страдают не меньше, нежели у тех, кто переболел.
Фото: pubs.rsna.org












