Девушка семь лет страдала от постоянных головных болей и ухудшения зрения, пока не стала известна причина такого состояния.
Австралийские врачи были удивлены, когда узнали, что происходит с девушкой. В больницу Мельбурна обратилась 25-летняя местная жительница. Об этом сообщают местные информагентства.
Стало известно о том, что она уже не могла терпеть головные боли. По этой причине австралийка обратилась за помощью к врачам.

Раньше приступы были нечастыми, и пациентка не придавала им значения. Однако со временем она стала замечать кратковременную потерю зрения, что отражалось не только на ее самочувствии, но и на качестве жизни.
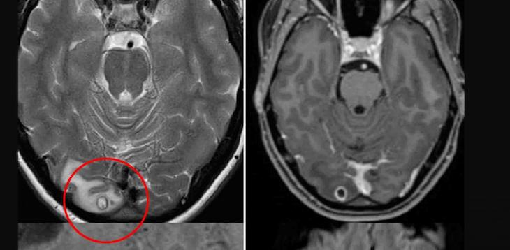
Родители девушки забили тревогу. Врачи еще до начала операции были убеждены в том, что в ее голове есть киста. Однако во время операции медики наткнулись на то, чего явно не ожидали. Более того, увиденное даже напугало их.
Врачи были убеждены в том, что у девушки рак. Однако опухолью оказалось скопление личинок ленточного червя.
Девушке поставили диагноз нейроцистицеркоз — заражение свиным цепнем. Данный диагноз вызвал много вопросов. В это не могли поверить не только местные специалисты, но также медики, которые занимаются тропической медициной.
Причиной стало то, что в Австралии заразиться им невозможно, а пациентка никогда не покидала пределы страны. От ленточных червей, как правило, страдают жители Латинской Америки, Юго-Восточной Азии и Африки.
Специалисты убеждены в том, что случай 25-летней австралийки является уникальным и странным.
Стоит отметить, что этот паразит попадает в организм человека со свиным мясом, а также через неочищенную воду, с которой контактируют животные.
Что касается самих животных, то они заражаются через экскременты людей. Червь может вызвать инсульт, головную боль, головокружение и нервно-психическую дисфункцию. Как правило, симптомы проявляются сразу же после того, как паразит поселяется в своей жертве.
При первых же признаках желательно обращаться за помощью к врачу для того, чтобы предотвратить различные последствия такого сожительства.
Фото: Twitter












