Пенсионер из США обожал ухаживать за домашним растением.
Однако не все хобби могут быть безопасными. В данном случае уход за любимым цветком стоил мужчине жизни.
Об этом сообщают американские информагентства. Стало известно о том, что пожилой мужчина из США, чьё имя неизвестно, долго ухаживал за своим растением. Однако в сентябре текущего года он внезапно почувствовал себя плохо.

У 82-летнего пенсионера начались приступы слабости и тошноты. С каждым днем его самочувствие ухудшалось.
Приём лекарственных препаратов не давал никакого результата. По этой причине семья мужчины приняла решение отвезти его в медицинское учреждение для того, чтобы врачи провели обследование и сказали, что же на самом деле происходит с пенсионером. Через неделю после госпитализации состояние пациента резко ухудшилось.
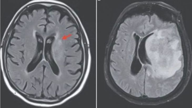
Правую сторону тела пожилого мужчины парализовало. Врачи сразу же поняли, что он умирает. Тогда они провели повторное обследование, но на этот раз решили просканировать его мозг.
Снимок показал, что правая часть мозга американца превратилась в кашу. По словам специалистов, причиной стали свободноживущие амёбы, которые жили в почве растения.
Эти микроорганизмы часто встречаются в природе, однако они редко приживаются в теле человека. В том случае если эти микробы поселятся в теле носителя, то ведут паразитирующий образ жизни, что в итоге может стать причиной летального исхода. По словам врачей, современная медицина в таких ситуациях бывает бессильной.
По этой причине спасти американца не удалось. Он скончался в медицинском учреждении. Ситуацию усугубляло и то, что пенсионер был болен лейкемией, однако находился в стадии ремиссии последние десять лет. Именно по этой причине иммунитет американца был ослаблен. Иммунная система не смогла выстоять и бороться.
По словам специалистов, распознать появление подобных амёб в организме человека достаточно трудно, что тормозит процесс лечения. Подобные случаи, как правило, не выявляются до вскрытия. Именно по этой причине необходимо сразу же обращаться к врачу, как только заметили недомогание.
Фото: соцсети












