Во вторник, 6 октября, в Беларуси подорожали доллар и евро. Российский рубль, напротив, подешевел.
Павел Господарик Главные новости Беларусь белорусский рубль курс валют доллар Новости Беларуси ЭкономикаВ Минске стоимость жилья на вторичном рынке с марта 2020 года упала на 0,3 %.
Светлана Протас Минск жилье квартиры строительство Беларусь Новости Минска Новости Беларуси МинскАппетитный стейк из красной рыбы является настоящим деликатесом, который в ресторане обойдется в приличную сумму.
Марина Михалап кулинария и рецепты рецепт рыба питание КулинарияСпециалисты назвали самый полезный продукт в мире.
Курчев Антон диетологи продукты питания салат витамины мозг Красота и здоровьеВ Беларуси на 7 октября объявлен желтый уровень опасности. В этот день ожидаются дожди, грозы и туман.
Павел Господарик Главные новости Беларусь погода прогноз погоды опасность Новости Беларуси ОбществоСветлана Тихановская провела пресс-брифинг для международных СМИ.
Елена Гутыро Беларусь Светлана Тихановская Германия протест Главные новости Новости Беларуси Новости Германии ПолитикаПользователь сайта Reddit показал людям, как выглядит его глаз.
Яна Русая глаза внешность красота зрение ОбществоФигурист Евгений Плющенко стал владельцем нового седана марки Porsche. Автомобиль ярко-оранжевого цвета спортсмен приобрел на осень, поскольку он хорошо сочетается с этой порой года.
Татьяна Ларина Евгений Плющенко Яна Рудковская шоу-бизнес знаменитости Шоу-бизнесБлинчики - это интересное блюдо, которое можно приготовить как в "сладком", так и в более "серьезном" варианте.
Марина Михалап кулинария и рецепты рецепт блины печень КулинарияГлава Либерально-демократической партии Беларуси, депутат Олег Гайдукевич на своей странице призвал чиновников вдумчиво работать с людьми.
Елена Гутыро Беларусь партия Олег Гайдукевич протест Главные новости Новости Беларуси ПолитикаАмериканские исследователи обнаружили неожиданное свойство патогена SARS-CoV-2.
Курчев Антон США ученые исследование Коронавирус COVID-19 2019-nCoV Новости США Коронавирус COVID-19Крым намерен договориться с Беларусью о прямом транспортном сообщении.
Светлана Протас Крым авиарейсы самолеты Минск путешествие Новости Крыма Новости Минска ОбществоЧасто ради любимого мужчины женщины совершают глупые поступки. Они готовы отказаться от многого, лишь бы избранник был рядом и захотел создать с ней семью.
Татьяна Ларина советы отношения семья мужчины женщины психология Полезные советыМинистерство образования Чехии выделит средства на обучение белорусов в своих вузах.
Светлана Протас Чехия образование студенты стипендия Беларусь Новости Чехии Новости Беларуси ОбществоЕсли вы хотите, чтобы ваш мозг работал на все 100%, то ему, как и мышцам, необходимы тренировки.
Марина Михалап наука советы интеллект психология Люди и событияБлогер решил проверить на деле внедорожники, относящиеся к премиальному сегменту. Участие в оффроуд-битве приняли сразу девять автомобилей.
Курчев Антон автомобили внедорожник испытания Mercedes Volvo Land Rover Lexus АвтоТелеграм-канал «Пул Первого», который связывают с пресс-службой Александра Лукашенко, представил свое видение ситуации в Кыргызстане.
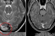
Елена Гутыро Кыргызстан Александр Лукашенко Беларусь протест Главные новости Новости Кыргызстана Новости Беларуси ОбществоДевушка семь лет страдала от постоянных головных болей и ухудшения зрения, пока не стала известна причина такого состояния.
Яна Русая здоровье врачи жизнь онкология болезнь Австралия Новости Австралии ОбществоПрием антибиотиков наносит организму определенный вред.
Светлана Протас диетологи антибиотик мясо фастфуд молоко Красота и здоровьеПрезидент Украины Владимир Зеленский высказал свое мнение о ситуации в Беларуси.
Елена Гутыро Украина Владимир Зеленский Беларусь протест Главные новости Новости Украины Новости Беларуси Политика